Ultima360
User guide
×
Menu
Index

9.3.7. Standardized Uptake Value (SUV)

 
SUV Types
1.      SUV body weight
SUVbw = [Activity Concentration (Bq/ml) *patient’s weight (g)]/ [corrected injection dose (Bq)]
 
2.      SUV body surface area
SUVbsa = [Activity Concentration (Bq/ml) *Body Surface Area (cm2)]/ [corrected injection dose (Bq)]
 
3.      SUV lean body mass
SUVlbm = [Activity Concentration (Bq/ml) *Lean Body Mass (g)]/ [corrected injection dose (Bq)]
 
 
SUV Equations
To calculate the Body Surface Area:
BSA in cm2 = (weight in kg)^0.425 * (height in cm)^0.725 * 0.007184*10000
 
To calculate the Lean Body Mass:
(Male)             LBM in kg = 1.10 * (weight in kg) – 120 * [(weight in kg) / (height in cm)]^2
(Female)      LBM in kg = 1.07 * (weight in kg) – 148 * [(weight in kg) / (height in cm)]^2
 
The Corrected Injection Dose is the injected dose after decay correction:
Corrected injection dose= [Total Dose * 2^( -(Series Date Time – Radio Pharmaceutical Start Time ) / Radionuclide half-life (sec) ) ]
 
 
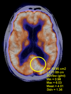
Calculate SUV in image region
To calculate the SUV in an image, follow the instructions below:
1.      Click on the ‘SUV’ button located on the toolbox panel, a menu will appear. Click on ‘Normalized equation’ and choose the equation of interest:
 
 
2.      Click on the ‘SUV’ button located on the toolbox panel, and then choose a region type:
 
 
3.      Click & drag the mouse on the image to calculate the SUV for that region, as shown below: