17.2.5.2. Window Level Options
To change the window level options, follow the instructions below:
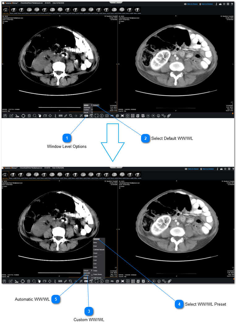
 Window Level Options
Click on "Window Level Options" from the bottom toolbar.
|
|
 Select Default WW/WL
You can select a default window level that has already been created.
|
|
 Custom WW/WL
You can manually enter your own WW/WL values.
|
|
 Select WW/WL Preset
You can choose a WW/WL preset depending on your anatomical structure.
|
|
 Automatic WW/WL
You can set Automatic WW/Wl.
|
|